
Efectuada com sonda abdominal, complementada com sonda vaginal, permite a observação dos órgãos pélvicos, nomeadamente do útero e dos ovários, e detectar eventual patologia.
Ecografia ginecológica de rotina
Permite detectar eventuais alterações sem que haja suspeita clínica.
Ecografia ginecológica para esclarecimento diagnóstico
Esta técnica é um importante contributo para o esclarecimento de suspeitas ou diagnósticos clínicos de doenças ginecológicas.
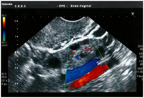
Ecografia ginecológica com Doppler
Permite avaliar a vascularização do útero e dos ovários.
Monitorização da ovulação
Verifica a resposta dos ovários em ciclos de tratamento de infertilidade, nomeadamente em ciclos de estimulação para “fertilização in vitro”.





